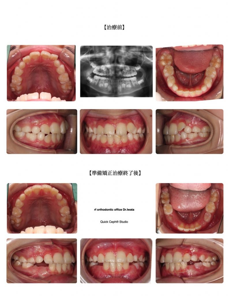
叢生症例 <正中離開を伴う上顎前歯叢生に対する準備矯正治療>
【主訴】大人の前歯が出始めたら窮屈な感じになり、重なって生えてきた。上の前歯の隙間も目立ってきたので一度綺麗にしたい。 【主な症状】叢生 正中離開 【矯正歯科治療のリスク・副作用】う蝕、歯肉炎、歯根吸収 ※矯正治療費には […]
【主訴】大人の前歯が出始めたら窮屈な感じになり、重なって生えてきた。上の前歯の隙間も目立ってきたので一度綺麗にしたい。 【主な症状】叢生 正中離開 【矯正歯科治療のリスク・副作用】う蝕、歯肉炎、歯根吸収 ※矯正治療費には […]
みなさま、こんにちは。 今日はクリスマスですね!! いかがお過ごしでしょうか✨ 我が家も子どもたちが欲しかったクリスマスプレゼントがちゃんと届きました🎅 そして、昨夜はリクエストに応えるかたちで一緒にクリスマスケーキを作 […]
2025年12月30日(火)~ 2026年1月3日(土)まで休診とさせていただきます。 ご迷惑をお掛けいたしますが、何卒宜しくお願い申し上げます。 休診中も24時間初診相談WEB予約は受け付けております。 初診相談をご希 […]
【主訴】 上下の前歯がガタガタしている。笑った時の見え方が気になる。 【主な症状】叢生 【抜歯部位】なし 【矯正歯科治療のリスク・副作用】う蝕、歯肉炎、歯周炎、歯根吸収、歯肉退縮
みなさま、こんにちは。 今回はマウスピース矯正と「食べ物」についてです。 マウスピースを装着中、 基本的には食べ物を食べてはいけません。 では、 「マウスピースを装着して食べたらどうなるのか?」 気になって試した方がいま […]
皆様、こんにちは。 今年もいよいよあと1ヶ月となりましたね! 大掃除を早めにスタートし、最後にバタバタしないよう 少しずつ進めていきたいところです🧹 12月はクリスマスのイベントや年賀状作成など 何かとバタバタしますよね […]