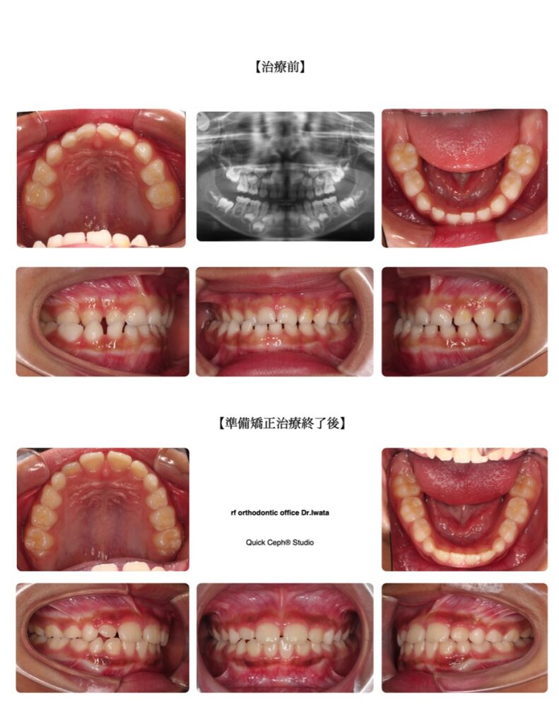
交叉咬合(クロスバイト) 治療症例 2026.04.08 交叉咬合症例 <交叉咬合による下顎の偏位に対する準備矯正治療> 【主訴】右側のかみ合わせが逆になっていて前歯の正中が大きくズレているのを検診で指摘された。今後顎が曲がっていくのが心配なので早めに治療ができれば行いたい。 【主な症状】右側交叉咬合(クロスバイト) 【矯正歯科治療のリスク […]