【小学生になったら歯並び相談を受けましょう】
お子様の成長は一人一人違います。それは歯並びも同じです。
適切な治療時期や方法を矯正専門医がアドバイスします。
「まだ早過ぎるかな?」でも大丈夫。
その場合は適切な時期まで責任を持って経過観察を行います。
遅すぎたを防ぐためにも「小学生」になったら一度は歯並びのチェックを矯正専門医院で受けましょう。



※治療保証は18歳までとなります。
治療に関する情報を日々共有し、最高水準の矯正治療をすべての患者さまにご提供しています。
大切なお子さまに、より安心・安全性に配慮した負担の少ない矯正治療をご提供します。
2014年 114件/2015年 134件/2016年 140件/2017年 176件/2018年 277件
2019年 563件/ 2020年 698件/2021年 736件 /2022年 468件/ 2023年 598件/2024年 748件



組み合わせた小児矯正治療の専門医院です
代官山こども矯正歯科は、マウスピース型矯正装置「インビザライン」の専門医院です。
インビザラインは、ワイヤー矯正よりも痛みが少なく透明で目立たないため治療中も快適に過ごすことができます。
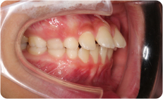
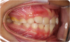
様々なお子さまの歯並びに対応しており「叢生(でこぼこ)」「出っ歯」「受け口」についても治療が可能です。
お子さまと保護者にとって、できるだけ負担が少なく安心・安全性に配慮した治療を受けていただきたいという思いから、
当院ではAIモニタリングシステム「デンタルモニタリング」による遠隔診療を取り入れています。
専用アプリを通じて医師とAIによる遠隔診療を毎週行うことにより、トラブルの早期発見と通院回数の低減による治療効率化を実現しています。
少しでもお子さまの歯並びが気になりましたら、ぜひお気軽にご相談ください。
※当院では日本矯正歯科学会臨床指導医(旧専門医)および認定医が全ての治療を行います。






診療時間
Clinic Hours
土・日/ 9:00〜13:00
休診日/ 月曜・祝日
※診療日は週により異なります。各週の診療予定はGoogleカレンダーからご確認ください。
Access
TEL 03-6809-0553
お車でお越しの場合: 近隣のコインパーキングをご利用ください
バスでお越しの場合: 東急バス『猿楽トレーニングジム入口・代官山Tサイト』より徒歩1分