マウスピース矯正における補助装置
みなさま、こんにちは。
今回はマウスピース矯正の補助装置についてお話ししたいと思います。
「補助装置って?」
「どんな時に使うの?」
「透明のマウスピースだけを使えばいいんじゃないの?」

実は違います!
マウスピース矯正で歯を正確に動かしていくには
いくつかの補助的な装置を使用します。
補助的...
つまりマウスピース矯正による
歯の移動を助ける装置です。
①Aligner Chewie(アライナー・チュウィー)

マウスピースを歯列によりしっかりとフィットさせる為の補助として、
装着時に使用します。

装着時にこれを咬むことにより
歯を動かす違和感を軽減する効果があります。
マウスピース装着時に毎回使用し
前歯の6歯(全歯の場合もあり)をしっかり噛んで、
マウスピースと歯をフィットさせていきます。

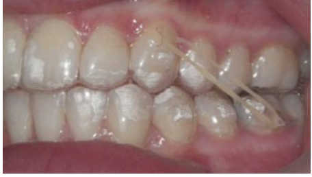
②顎間エラスティック(ゴム)

上下の歯の咬み合わせを改善、微調整するために使用します。
また、歯の移動時に起こる反作用の力を抑えることができます。

必要に応じて、ある一定期間使用して頂きますが、
ゴムは口腔内の側方につけるためほとんど目立ちません。
これらはマウスピース矯正治療において、
とても重要な装置です。
補助装置をしっかり使えるかどうかが、
治療期間や治療結果に影響しますので
頑張って使ってくださいね!

歯並びでお困りの方、
小児矯正/本格矯正/
マウスピース矯正をご希望の方は
お気軽にご連絡ください。 初診矯正相談WEB予約はこちら
当院では、お子さまと保護者の方にとって安心できる矯正治療を提供できるよう
小児の症例や矯正治療について、さまざまな情報を発信しております。
詳しくは【 当院 Instagram & YouTube 】を是非参考にご覧ください。



代官山こども矯正歯科