
【主訴】 上の1本出ている前歯を綺麗にしたい。 【主な症状】叢生 【抜歯部位】なし 【矯正歯科治療のリスク・副作用】う蝕、歯肉炎、歯周炎、歯根吸収、歯肉退縮
【主訴】 上の1本出ている前歯を綺麗にしたい。 【主な症状】叢生 【抜歯部位】なし 【矯正歯科治療のリスク・副作用】う蝕、歯肉炎、歯周炎、歯根吸収、歯肉退縮
【主訴】下の前歯がでこぼこしている。上の前歯が出っ歯になっている。 【主な症状】叢生 上顎前突 【抜歯部位】上下顎両側第一小臼歯 【矯正歯科治療のリスク・副作用】う蝕、歯肉炎、歯周炎、歯根吸収、歯肉退縮
【主訴】上下の前歯がガタガタで生えてきた。上の2番目の歯が内側から出てきて心配になった。 【主な症状】叢生 【矯正歯科治療のリスク・副作用】う蝕、歯肉炎、歯根吸収 ※永久歯列完成後に本格矯正治療(永久歯の仕上げの矯正)が […]
【主訴】 笑った時の八重歯がコンプレックスで治したい。口も閉じにくい。 【主な症状】叢生 上下顎前突 【抜歯部位】上下顎両側第一小臼歯 【矯正歯科治療のリスク・副作用】う蝕、歯肉炎、歯周炎、歯根吸収、歯肉退縮
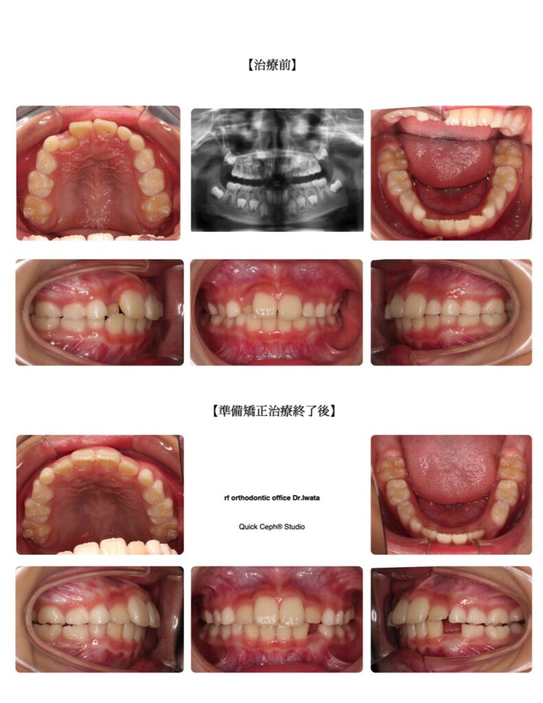
【主訴】前歯のガタガタが気になる(特に下の前歯)。歯みがきがしにくい。目立たない矯正装置で治療したい 【主な症状】叢生 【抜歯部位】なし 【矯正歯科治療のリスク・副作用】う蝕、歯肉炎、歯周炎、歯根吸収、歯肉退縮が挙げられ […]
【主訴】右下の乳歯が早めに抜けて永久歯が出てくるスペースが無いと歯医者さんで指摘された。 【主な症状】叢生 【矯正歯科治療のリスク・副作用】う蝕、歯肉炎、歯根吸収 ※永久歯列完成後に本格矯正治療(永久歯の仕上げの矯正)が […]
【主訴】前歯のでこぼこをきれいにしたい。できるだけ痛みが少ない装置で矯正治療をしたい。 【主な症状】叢生 【抜歯部位】なし 【矯正歯科治療のリスク・副作用】う蝕、歯肉炎、歯周炎、歯根吸収、歯肉退縮が挙げられます
【主訴】下の前歯がガタガタに生えてきた。 【主な症状】叢生 【矯正歯科治療のリスク・副作用】う蝕、歯肉炎、歯根吸収 ※永久歯列完成後に本格矯正治療(永久歯の仕上げの矯正)が必要になる場合があります。
【主訴】 笑った時に左上の八重歯が目立つのを治したい。前歯のガタガタも気になる。 【主な症状】叢生 【抜歯部位】なし 【矯正歯科治療のリスク・副作用】う蝕、歯肉炎、歯周炎、歯根吸収、歯肉退縮が挙げられます
【主訴】上の前歯がズレて前に出てきた。下の前歯もガタガタしている。 【主な症状】叢生 右側大臼歯 Class II(前突傾向) 【矯正歯科治療のリスク・副作用】う蝕、歯肉炎、歯根吸収 ※永久歯列完成後に本格矯正治療(永久 […]