お子さまのための負担の少ない矯正治療
【小学生になったら】まずは歯並び相談へ
専門医および認定医が全て対応します

【小学生になったら歯並び相談を受けましょう】

お子様の成長は一人一人違います。それは歯並びも同じです。
適切な治療時期や方法を矯正専門医がアドバイスします。

「まだ早過ぎるかな?」でも大丈夫。
その場合は適切な時期まで責任を持って経過観察を行います。

遅すぎたを防ぐためにも「小学生」になったら一度は歯並びのチェックを矯正専門医院で受けましょう。

01
policy
マウスピースで負担の少ない治療
代官山こども矯正歯科では、できるだけストレスの少ない矯正治療を受けていただきたいという思いから透明のマウスピース型矯正装置「インビザライン」を採用しています。インビザラインは従来のワイヤー型矯正装置と比較して、痛みが少なく見た目が透明で目立ちません。お子さまにとって負担が少ない矯正治療を受けていただけます。
02
policy
AIモニタリングで安心・安全性に配慮
代官山こども矯正歯科ではAIモニタリングシステム「デンタルモニタリング」を導入しています。専用アプリで毎週写真を送信いただくことで、医師が治療状況の確認を行えます。毎週のモニタリングによるトラブルの早期発見で来院回数を減らします。またアプリを通じていつでも医師と連絡ができますので、疑問や不安のない安心・安全性に配慮した治療環境をご提供いたします。
03
policy
永久歯の歯並びまで治療保証
代官山こども矯正歯科の矯正治療は、大人になったあとも綺麗な歯並びを保てるように、お子さまが成人するまで治療保証が付いています。治療終了後の永久歯への生え変わりや歯並びの後戻りなど再治療が必要になった場合は、当院が責任を持って治療を行います。再治療に追加費用はかかりません。
※治療保証は18歳までとなります。
症例実績
5,203件
2014〜2025年12月時点
当院は代官山こども矯正歯科をはじめ、東京水道橋にアールエフ矯正歯科、福岡に福岡天神矯正歯科を構える矯正歯科専門のクリニックです。
治療に関する情報を日々共有し、最高水準の矯正治療をすべての患者さまにご提供しています。
大切なお子さまに、より安心・安全性に配慮した負担の少ない矯正治療をご提供します。
年別症例数
2014年 114件/2015年 134件/2016年 140件/2017年 176件/2018年 277件
2019年 563件/ 2020年 698件/2021年 736件 /2022年 468件/ 2023年 598件/2024年 748件/2025年 551件
「マウスピース型矯正装置」と「AIモニタリング」を
組み合わせた小児矯正治療の専門医院です

代官山こども矯正歯科は、マウスピース型矯正装置「インビザライン」の専門医院です。
インビザラインは、ワイヤー矯正よりも痛みが少なく透明で目立たないため治療中も快適に過ごすことができます。
様々なお子さまの歯並びに対応しており「叢生(でこぼこ)」「出っ歯」「受け口」についても治療が可能です。

お子さまと保護者にとって、できるだけ負担が少なく安心・安全性に配慮した治療を受けていただきたいという思いから、
当院ではAIモニタリングシステム「デンタルモニタリング」による遠隔診療を取り入れています。
専用アプリを通じて医師とAIによる遠隔診療を毎週行うことにより、トラブルの早期発見と通院回数の低減による治療効率化を実現しています。
少しでもお子さまの歯並びが気になりましたら、ぜひお気軽にご相談ください。

※当院では日本矯正歯科学会臨床指導医(旧専門医)および認定医が全ての治療を行います。

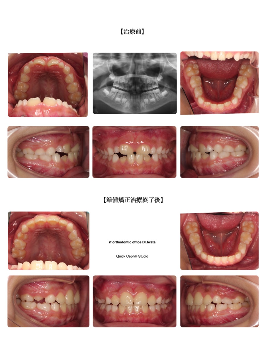
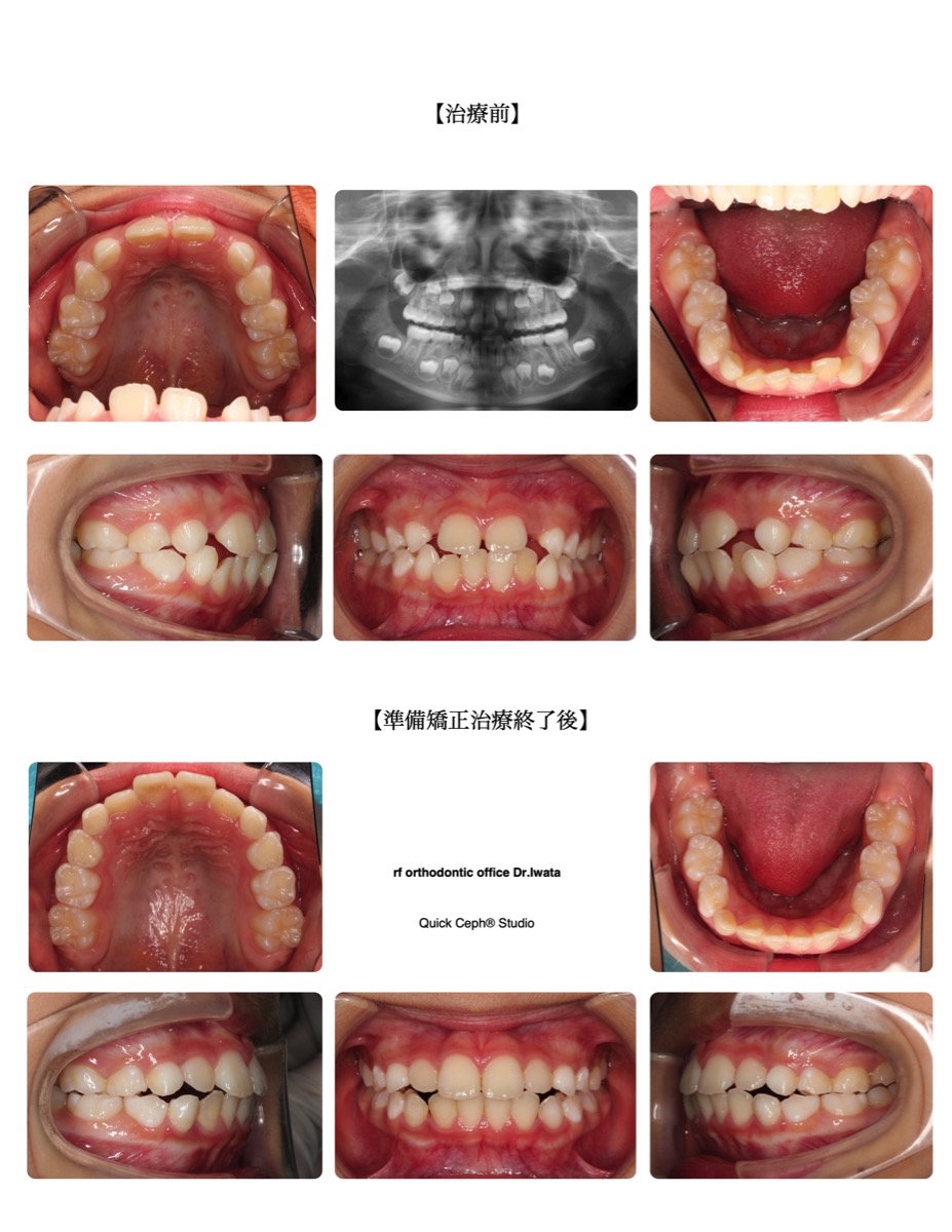
case1
叢生(でこぼこ)
歯が一列に並びきらず、デコボコになっている噛み合わせ。
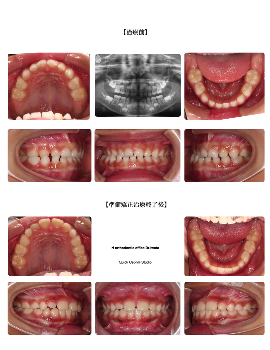
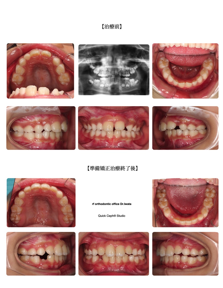
case2
出っ歯
上の前歯や上あごが前へ出ている噛み合わせ。
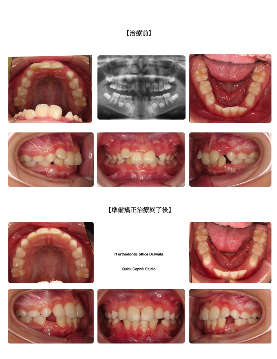
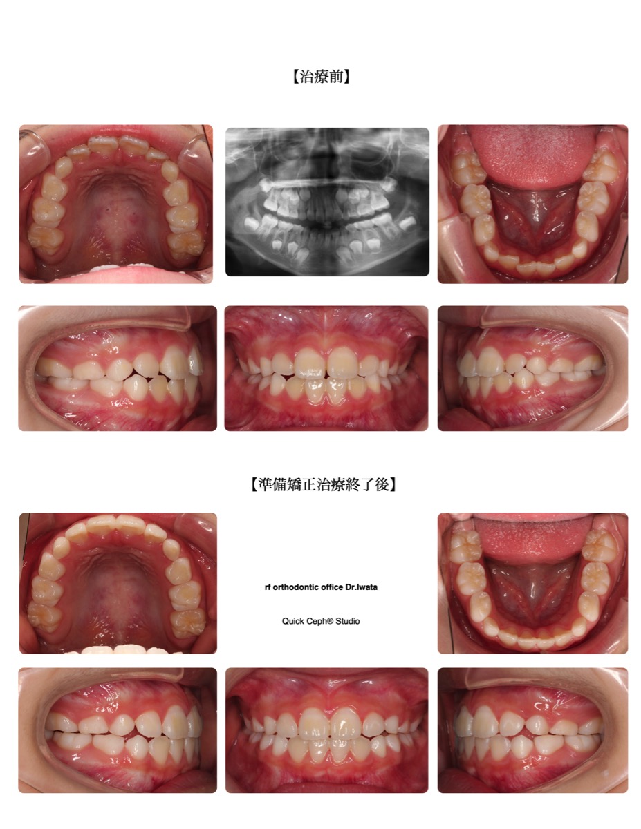
case3
受け口
下の前歯が上の前歯より前に出ている噛み合わせ。
当院について
about our clinic
マウスピース型カスタムメイド矯正装置(インビザライン)によるマウスピース矯正専門の小児歯列矯正専門医院です。当院は代官山、水道橋、福岡にクリニックがあり、治療に関する情報を日々共有しております。私達は、矯正治療を「医療」として提供いたします。
さらに詳しく
治療案内
treatment
当院はマウスピース型矯正装置(インビザライン)によるマウスピース矯正を中心とした歯列矯正専門医院です。できるだけストレスのない矯正治療を受けて頂きたいという思いから開院当初より痛みの少ないマウスピース型矯正装置(インビザライン)とAIモニタリング「デンタルモニタリング」を用いたマウスピース矯正治療を行っております。
さらに詳しく
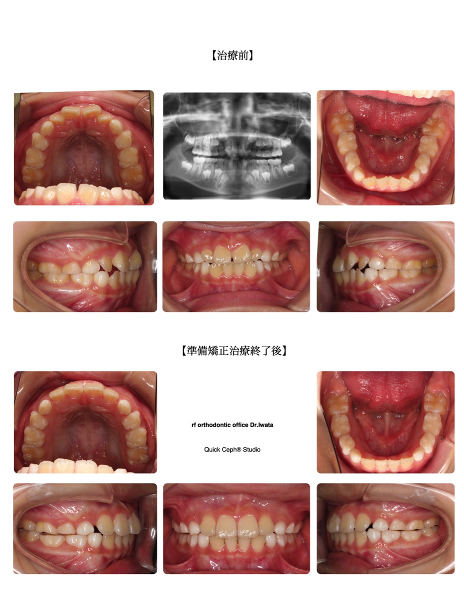
治療症例
case study
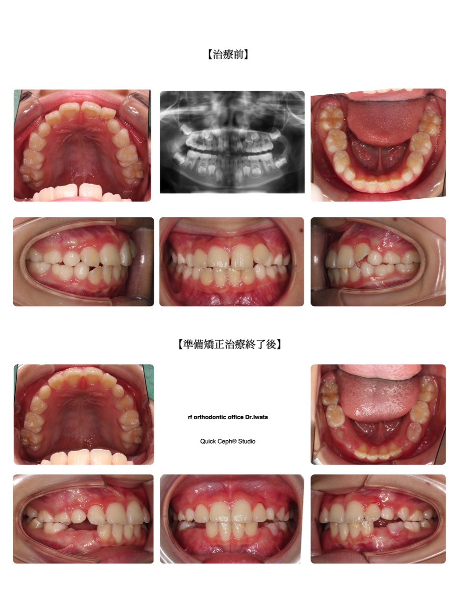
症例数においては過去5,203件以上※。当クリニックでおこなった矯正治療症例を一部ご紹介いたします。
※2025年12月時点
さらに詳しく

診療時間
Clinic Hours

平 日/ 15:00〜18:30
土・日/ 9:00〜13:00
休診日/ 月曜・祝日

※診療日は週により異なります。各週の診療予定はGoogleカレンダーからご確認ください。
アクセス
Access
〒150-0033 東京都渋谷区猿楽町19-3 ミラフローレス代官山 2F
TEL 03-6809-0553
電車でお越しの場合: 東急東横線代官山駅より徒歩3分
お車でお越しの場合: 近隣のコインパーキングをご利用ください
バスでお越しの場合: 東急バス『猿楽トレーニングジム入口・代官山Tサイト』より徒歩1分