
反対咬合症例 <叢生を伴う右側反対咬合に対する準備矯正治療>
【主訴】上の前歯がガタガタしていて反対咬合になっている。 【主な症状】反対咬合 叢生 【矯正歯科治療のリスク・副作用】う蝕、歯肉炎、歯根吸収 ※永久歯列完成後に本格矯正治療(永久歯の仕上げの矯正)が必要になる場合がありま […]
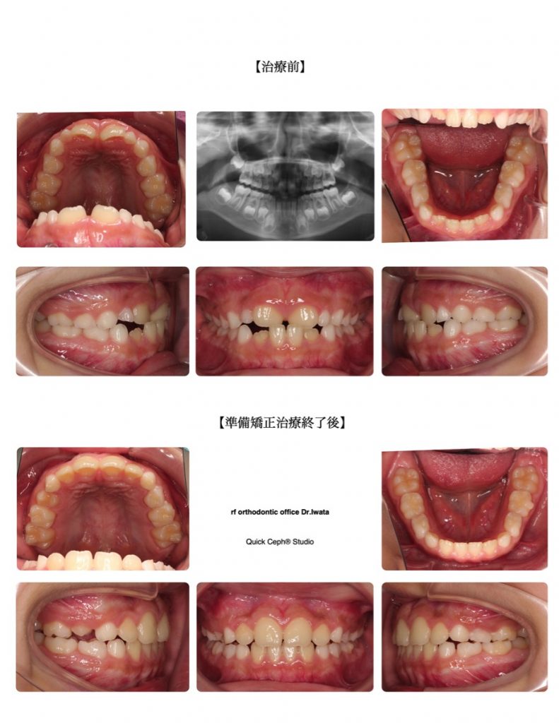
【主訴】上の前歯がガタガタしていて反対咬合になっている。 【主な症状】反対咬合 叢生 【矯正歯科治療のリスク・副作用】う蝕、歯肉炎、歯根吸収 ※永久歯列完成後に本格矯正治療(永久歯の仕上げの矯正)が必要になる場合がありま […]
【主訴】上の歯が1本内側から出てきた。下の前歯がでこぼこになっている。 【主な症状】反対咬合 叢生 【矯正歯科治療のリスク・副作用】う蝕、歯肉炎、歯根吸収 ※永久歯列完成後に本格矯正治療(永久歯の仕上げの矯正)が必要にな […]
【主訴】上の前歯が1本内側に入っている。すきっ歯が心配。 【主な症状】反対咬合 空隙歯列 叢生 【矯正歯科治療のリスク・副作用】う蝕、歯肉炎、歯根吸収 ※永久歯列完成後に本格矯正治療(永久歯の仕上げの矯正)が必要になる場 […]