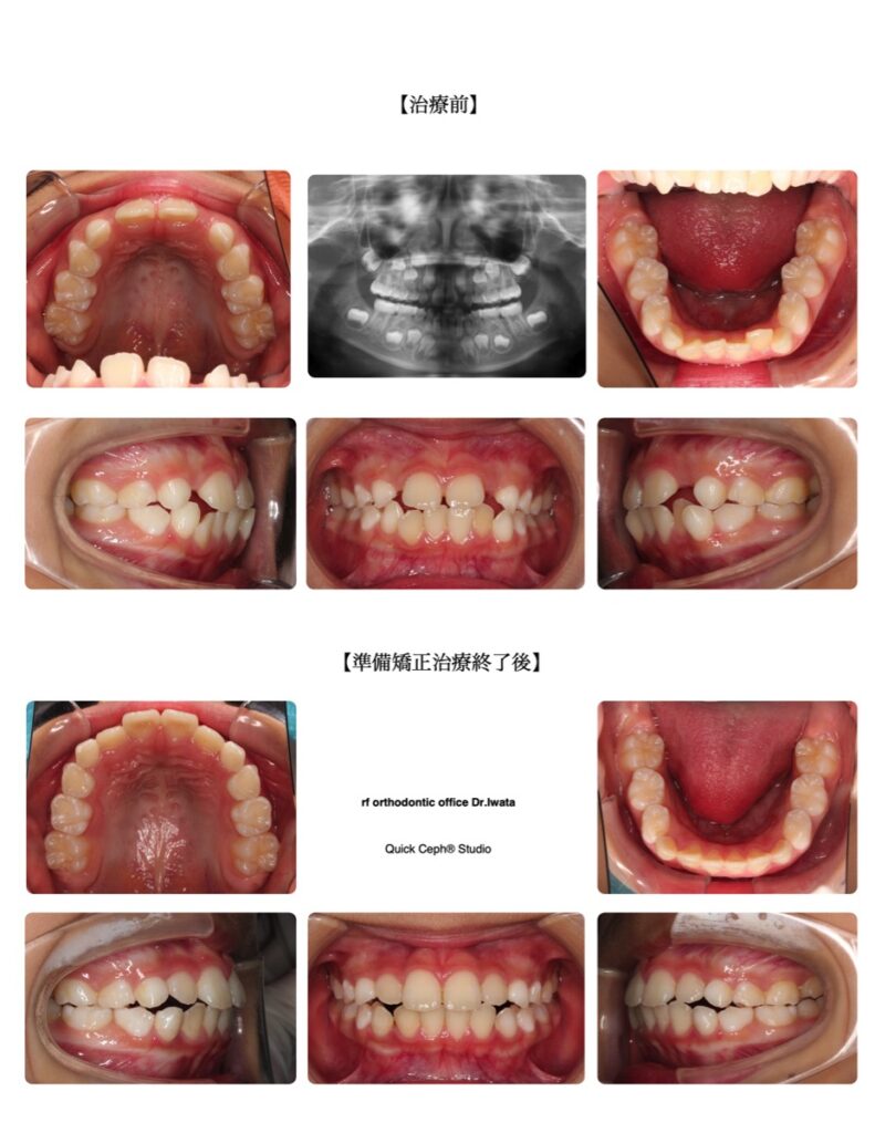
叢生症例 <切端咬合を伴う叢生に対する準備矯正治療>
| 治療方法 | マウスピース型矯正装置 |
|---|---|
| 治療期間 | 11ヶ月 |
| 性別 | 女性 |
| 年齢 | 7歳 |
| 治療費用 | ¥935,000+TAX |
【主訴】上の前歯はすきっ歯だけど横の前歯がスペースが足りなくてなかなか生えてこない。下の前歯のガタガタも強くて今後の歯並びが心配。
【主な症状】叢生 上下顎前突
【矯正歯科治療のリスク・副作用】う蝕、歯肉炎、歯根吸収
※矯正治療費には永久歯の歯並びまでの治療補償費が含まれます。治療終了後も成人する18歳まで永久歯への生え変わりや歯並びの後戻りなどによる再治療に追加費用はかかりません。