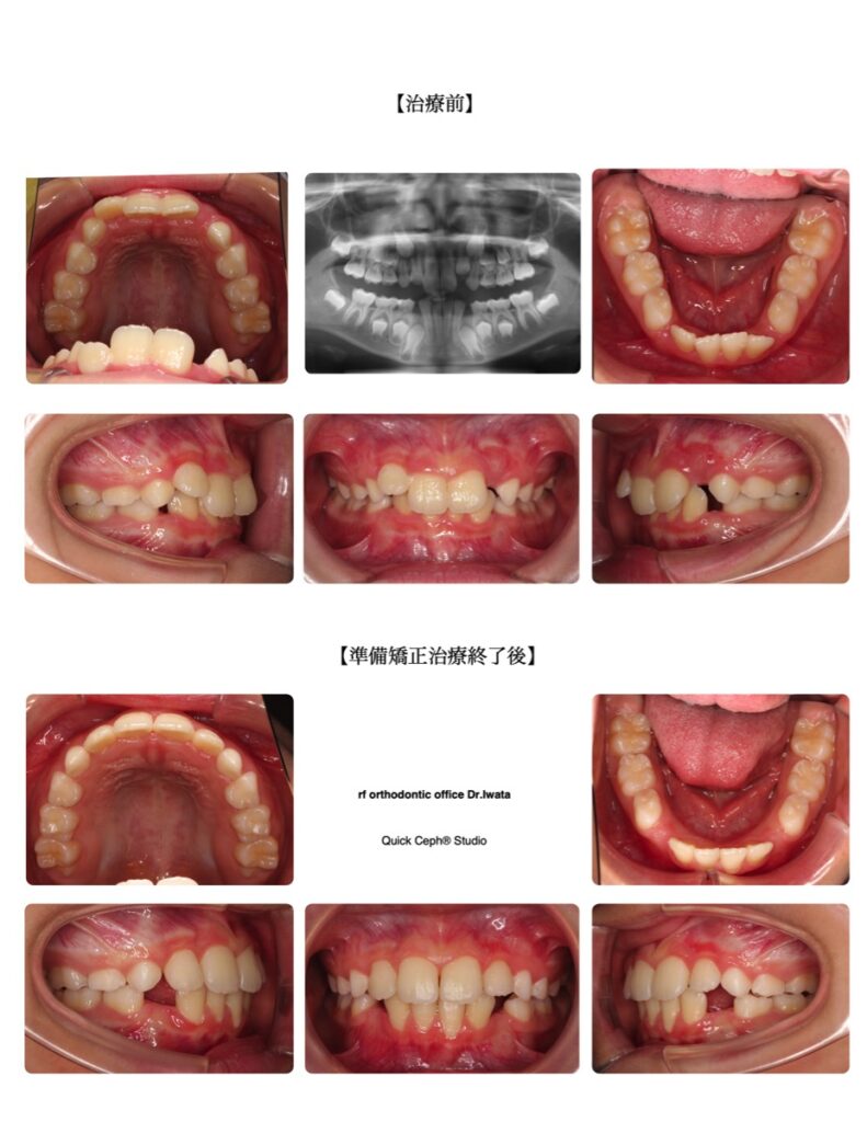
過蓋咬合症例 <叢生を伴う過蓋咬合に対する準備矯正治療>
| 治療方法 | マウスピース型矯正装置 |
|---|---|
| 治療期間 | 12ヶ月 |
| 性別 | 男性 |
| 年齢 | 8歳 |
| 治療費用 | ¥935,000+TAX |
【主訴】かみ合わせが深く、上の前歯が変な向きで生えてきた。下の乳犬歯も結構前に抜けたが永久歯がなかなか生えてこずスペースも無さそう。
【主な症状】過蓋咬合 叢生
【矯正歯科治療のリスク・副作用】う蝕、歯肉炎、歯根吸収
※矯正治療費には永久歯の歯並びまでの治療補償費が含まれます。治療終了後も成人する18歳まで永久歯への生え変わりや歯並びの後戻りなどによる再治療に追加費用はかかりません。