上顎前突症例 <永久歯の萌出スペース不足を伴う上顎前突に対する準備矯正治療>

治療方法 | マウスピース型矯正装置 |
---|---|
治療期間 | 18ヶ月 |
性別 | 女性 |
年齢 | 7歳 |
治療費用 | ¥935,000+TAX |
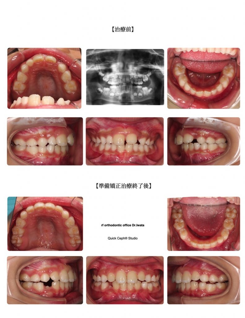
「すきっ歯が気になる」「横の永久歯が出てくるスペースが足りない」「出っ歯で口が閉じづらい」といったお悩みを持つ方は少なくありません。特に、歯並びが不揃いな場合や前歯の隙間が大きくなっている場合、見た目だけでなく、噛み合わせにも影響が出ることがあります。このような症状に対して、矯正治療は非常に効果的です。今回は、上顎前突(出っ歯)や正中離開(すきっ歯)に関する治療方法と、それに伴うリスクについて詳しく解説します。
主訴
今回の主訴では、上顎前突と呼ばれる出っ歯の状態があり、口が閉じづらいという症状が見られました。出っ歯は、上顎の前歯が前方に出ている状態です。このような歯並びは、見た目に大きな影響を与え、口元が突出して見えることがあります。また、正中離開(すきっ歯)も併発しており、前歯の間に隙間が目立つことが特徴です。
矯正治療のアプローチ
これらの症状に対して、矯正治療ではスペース確保と歯列の調整が必要です。特に、横の永久歯が生えてくるためのスペースが不足している場合は、歯列拡大や場合によっては歯の間隔を調整する処置が行われます。出っ歯の改善には、上顎の歯を後ろに引くための力を加えることが重要です。矯正装置は今回はマウスピース型矯正を選択しました。
治療中は、歯と歯の間を調整し、歯が本来の位置に移動するように誘導します。正中離開や叢生に関しては、歯の隙間を埋めるためのスペースを確保し、より整った歯並びを目指します。
矯正治療のリスクと副作用
矯正治療は効果的ですが、いくつかのリスクや副作用も伴います。治療中に注意すべき点として、う蝕(虫歯)や歯肉炎が挙げられます。矯正装置がついている間は、歯磨きがしにくくなり、食べ物が歯に挟まりやすくなるため、適切な口腔ケアが重要です。また、矯正中に歯根が吸収される歯根吸収が起こることもあります。これにより、歯が短くなることがありますが、適切な治療と管理によりリスクを最小限に抑えることができます。
治療開始前にリスクについて十分に説明を受け、必要な対策を講じることが大切です。
矯正治療の費用と補償について
矯正治療にかかる費用については、治療期間や使用する矯正装置によって異なりますが、当院では永久歯の歯並びまでの治療費用が含まれたパッケージ料金をご案内しています。この料金には、成人になる18歳までの治療に関する補償が含まれており、歯並びの後戻りや生え変わりによる再治療にも追加費用はかかりません。これにより、患者様は治療期間中に予算を気にせず、しっかりと治療を続けることができます。
まとめ
上顎前突(出っ歯)や正中離開(すきっ歯)の改善は、見た目の向上だけでなく、噛み合わせや口腔衛生の改善にもつながります。矯正治療を通じて、患者様が自信を持てるような笑顔を取り戻せるようにサポートいたします。
治療を始める前に、リスクや治療方針について十分に理解し、安心して治療を受けられる環境を整えることが大切です。矯正治療に関するご質問やご不安な点がありましたら、お気軽にご相談ください。