マウスピースに羽⁉︎
みなさん、こんにちは。
今日はこちらの
珍しいマウスピースを
ご紹介しようと思います✨


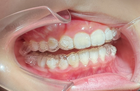
奥歯の横に出っ張りが付いていて、
通常のマウスピースとは少し形が違います。
こちらは「プレシジョンウイング」といい、
この場所で噛み込むことで、
下顎を前の方に誘導するというものです。

一般的に言われる「出っ歯」(上顎前突)、
上顎が下顎より前に出ている
思春期の成長過程に使います。
このプレシジョンウイングを使用し、
積極的な下顎の発育を促します。

どのように動いていくかというと…
①

スタート時は上顎の奥歯が
下顎の奥歯より手前にあります。
↓
②

↓
③

↓
④

徐々に下顎を前方に促すことにより
④は上顎の奥歯が下顎の奥歯より
後ろになりました。
下記でもう一度①と④を比べてみます。
①

④

上顎の奥歯が下顎の奥歯より後ろになり、
前歯がきれいに揃いました⭐︎
このマウスピースを使っているお子さんに
使い心地を聞いてみたところ、
特に違和感なく使えているとのことでした♪

※装着したときの注意点ですが、
横方向に顎を動かすと
ウイングがたわんでしまうので
無理に横方向には動かさないように
気をつけましょう。

当院インスタグラムでもご紹介中です。
→「マウスピースに羽?」
こどものマウスピース矯正については
こちらにもございますので
参考になさってください.。.:*☆

当院では、お子さまと保護者の方にとって安心できる矯正治療を提供できるよう
小児の症例や矯正治療について、さまざまな情報を発信しております。
詳しくは【 当院 Instagram & YouTube 】を是非参考にご覧ください。



代官山こども矯正歯科